Reporte de caso
Divertículo solitario gigante del colon sigmoides
Fernando Fernández López1, María Jesús Ladra González1, Jesús Paredes Cotoré1, Manuel Bustamante Montalvo2
Complexo Hospitalario Universitario de Santiago, Hospital Clínico Universitario de Santiago, Santiago de Compostela, España
1 Servicio de Cirugía General y Digestiva. Unidad de Coloproctología.
2 Jefe de Servicio de Cirugía General y Digestiva.
Los autores declaran ausencia de conflictos de interés.
Fernando Fernández López: fernando.fernandez.lopez@usc.es
Recibido: diciembre de 2022. Aceptado: diciembre de 2023
Fernando Fernández López. https://orcid.org/0000-0001-6132-9641
María Jesús Ladra González. https://orcid.org/0000-0001-5919-3239
Jesús Paredes Cotoré. https://orcid.org/0000-0001-5171-3324
Manuel Bustamante Montalvo. https://orcid.org/0000-0002-8034-5580
RESUMEN
El divertículo gigante solitario del colon sigmoides es una entidad muy infrecuente que puede presentarse como un abdomen agudo o con molestias abdominales crónicas inespecíficas. Las complicaciones más importantes son la perforación, la obstrucción y la volvulación. Los estudios de imágenes muestran el característico “signo del globo”, una una imagen aérea quística de gran tamaño con bordes regulares y paredes lisas. El tratamiento es la resección quirúgica del segmento colónico afectado. Presentamos el caso de una paciente con episodios recurrentes de diverticulitis que se resolvió con la resección quirúrgica.
Palabras clave: divertículo solitario gigante, colon sigmoides, signo del globo, resección colónica
ABSTRACT
Solitary giant diverticulum of the sigmoid colon is a very rare entity that can present as an acute abdomen or with chronic nonspecific abdominal discomfort. The most important complications are perforation, obstruction and volvulation. Imaging studies show the characteristic “balloon sign”, a large, smooth-walled gas-filled cyst. Treatment is surgical resection of the affected colonic segment. We present the case of a patient with recurrent episodes of diverticulitis that resolved with surgical resection.
Keywords: giant solitary diverticulum, sigmoid colon, balloon sign, colonic resection
INTRODUCCIÓN
El divertículo gigante solitario del sigmoides es una entidad muy infreceuente que puede presentarse como un abdomen agudo hasta molestias abdominales crónicas inespecíficas que recuerdan a la diverticulitis aguda en su presentación habitual.1 Las complicaciones más importantes de un divertículo gigante son la perforación, la obstrucción o la volvulación. La radiografía abdominal o el colon por enema muestran una imagen aérea quística de gran tamaño (signo del globo), de bordes regulares y paredes lisas,2 siendo la tomografía computarizada la prueba de elección para su diagnóstico. El tratamiento es quirúrgico y se basa en la resección en bloque del segmento del colon en el que se presenta.3 En base a su aspecto patológico se clasifican en: tipo 1 o pseudodivertículo (por pulsión); tipo 2 o tipo inflamatorio y tipo 3 o verdadero divertículo, que contiene todas las estructuras de la pared intestinal.4
CASO CLÍNICO
Mujer de 47 años, con múltiples consultas por
dolor abdominal crónico y exacerbaciones cólicas. La radiografía de abdomen
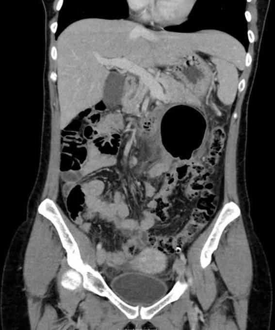
mostró una imagen de gas intraabdominal, similar a un globo. Se realizó una tomografía computada abdominal que informa la presencia de una “gran burbuja” aérea
en el hemiabdomen izquierdo sin poder concretar su origen (Fig. 1). Descartado el neumoperitoneo, se completó
el estudio con una colonoscopia que no mostró hallazgos
de interés. Se realizó un colon por enema en el que
se apreció la misma configuración de gas intraabdominal (Fig. 2).

Figura 1. Tomografía computada en la que se aprecia el “signo del globo”, una gran burbuja área de paredes finas, sin continuidad con la luz del colon.

Figura 2. Colon por enema. La estrecha luz del cuello del divertículo no permite el paso del contraste, aunque se aprecia la presencia de gas en su interior.
La paciente fue intervenida quirúrgicamente por vía laparoscópica, pero hubo que convertir a cirugía abierta debido a adherencias y un severo proceso inflamatorio en la proximidad del colon sigmoides y del ángulo de Treitz como consecuencia de repetidos episodios agudos. Se identificó un divertículo sigmoideo solitario de gran tamaño (Fig. 3). A pesar de tener un orifico luminal estrecho, la base era muy amplia por lo se que decidió realizar una sigmoidectomía con anastomosis colo-cólica termino-terminal. El postoperatorio transcurrió sin incidencias y fue dada de alta el 6º día postoperatorio.

Figura 3. Imagen intraoperatoria. Se aprecia el diverículo gigante y solitario en el colon sigmoides.
El examen anatomo-patológico informó un divertículo solitario gigante del colon (>5 cm), con signos de inflamación crónica y presencia de células tipo “cuerpo extraño”, sin evidencia de malignidad, tipo 2 según la clasificación de McNutt.4
DISCUSIÓN
Un divertículo gigante se define como un divertículo quístico lleno de aire de más de 4 cm de diámetro máximo.1 Aunque su etiología no es clara, algunos autores proponen un mecanismo valvular de atrapamiento de gas colónico que se autoperpetua con episodios inflamatorios.5 Desde el primer caso descrito de un quiste aéreo solitario en 1943, se han publicado un escaso numero de casos que describen esta entidad clínica con varios nombres: “quiste gaseoso gigante”, “divertículo sigmoideo gigante”, “divertículo colónico gigante” o “quiste gaseoso intestinal”.
Clínicamente puede presentarse con una variedad de signos y síntomas, desde un hallazgo incidental en un paciente asintomático, hasta una presentación como tumoración abdominal, o incluso un abdomen agudo secundario a la perforación.
El principal mecanismo etiopatogénico descrito es el efecto valvular de la capa muscular que estrecha la comunicación de la luz del pseudodivertículo de mucosa y submucosa con la luz intestinal debido al proceso inflamatorio.
El diagnóstico se sospecha con una radiografía simple de abdomen y se confirma con una tomografía computada. Ambas pruebas evidencian el clásico “signo del globo”. El colon por enema confirma el diagnóstico cuando existe comunicación entre el divertículo y el colon, algo que ocurre únicamente en el 25% de los casos. En ocasiones, se ha descrito que este estudio puede precipitar la perforación del divertículo. La recosigmoidoscopia rara vez aporta información.
El tratamiento de elección es la resección del segmento del colon afectado, con anastomosis si no exiten complicaciones locales como perforación o absceso. En estos casos, se podría considerar una resección tipo Hartmann.
CONCLUSIÓN
Presentamos el caso de un divertículo solitario gigante del colon tipo 2 (inflamatorio). Debe sospecharse ante una imagen radiológica en forma de globo. Su tratamiento es quirúrgico para evitar complicaciones como la formación de abscesos o la perforación libre.
REFERENCIAS
1. Nigri G, Petrucciani N, Giannini G, Aurello P, Magistri P, Gasparrini M, et al. Giant colonic diverticulum: clinical presentation, diagnosis and treatment: systematic review of 166 cases. World J Gastroenterol. 2015; 21:360-68.
2. Thomas S, Peel RL, Evans LE, Haarer KA. Best cases from the AFIP: Giant colonic diverticulum. Radiographics. 2006; 26:1869-72.
3. Kam JC, Doraiswamy V, Spira RS. A rare case presentation of a perforated giant sigmoid diverticulum. Case Rep Med. 2013;2013:957152.
4. McNutt R, Schmitt D, Schulte W. Giant colonic diverticula-three distinct entities. Report of a case. Dis Colon Rectum. 1988; 31:624-28.
5. Salazar-Ibargüen J, Escárcega RO, Pérez Chávez G. Giant sigmoid colon diverticulum. Dig Surg. 2007; 24:17-8.