Adenocarcinoma apendicular: masa palpable en fosa ilíaca derecha
Sergio Schlain,1 Rocío Pérez Domínguez,2 Felipe Kenny,2 Nelson Manassero3
División Coloproctología, HIGA San Roque de Gonnet, La Plata, Argentina.
1Coordinador de la División Coloproctología.
2Cirujana/o de Staff de Coloproctología.
3Residente de Cirugía
Sergio Schlain
sschlain@med.unlp.edu.ar
Sergio Schlain: 000-0002-5615-3503
Rocío Pérez Domínguez: 0000-0001-8347-0849
Felipe Kenny: 0000-0002-2825-6214
Nelson Manassero0000-0002-2360-8161
Los autores declaran ausencia de conflictos de interés.
Recibido: abril de 2021. Aceptado: mayo de 2021.
RESUMEN
La neoplasia primaria del apéndice es una entidad rara y de difícil diagnóstico preoperatorio. El adenocarcinoma representa tan solo el 10 % y se da mayormente en pacientes de 62 a 65 años de edad. Presentamos una paciente femenina de 73 años que consulta por dolor en fosa ilíaca derecha de 5 meses de evolución asociado a masa palpable. La tomografía computada mostró un engrosamiento parietal circunferencial e irregular del ciego y los marcadores tumorales estaban elevados. Se realizó una hemicolectomía derecha laparoscópica con criterio oncológico por diagnóstico presuntivo de neoplasia apendicular. La anatomía patológica informó un adenocarcinoma del apéndice variante intestinal con invasión cecal e ileal y 2/14 adenopatías positivas, T4N1Mx. La evolución clínica temprana fue buena. Actualmente, la paciente se encuentra en tratamiento adyuvante.
Palabras clave: Adenocarcinoma apendicular; Masa palpable en fosa ilíaca derecha; Hemicolectomía derecha
ABSTRACT
Primary neoplasia of the appendix is a rare entity that is difficult to diagnose preoperatively. The adenocarcinoma represents only 10% and occurs mainly in patients between 62 and 65 years of age. We present the case of a 73-year-old female patient with pain in the right iliac fossa of 5 months' duration associated with a palpable mass. Computed tomography showed irregular circumferential parietal thickening of the cecum and the tumor markers were elevated. A laparoscopic right colectomy was performed with oncological criteria due to a presumptive diagnosis of appendiceal neoplasia. Histopathology reported adenocarcinoma of the appendix, intestinal type, with cecal and ileal invasion and 2/14 positive adenopathies, T4N1Mx. The initial clinical course was good. The patient is currently undergoing adjuvant treatment.
Keywords: Appendicular Adenocarcinoma; Palpable Mass in Right Iliac Fossa; Right Colectomy
INTRODUCCIÓN
La neoplasia primaria del apéndice es una entidad rara y de difícil diagnóstico preoperatorio. Corresponde a menos del 1 % del total de apendicectomías.1 La histología más frecuente ha sido la neoplasia neuroendocrina, que alcanza una frecuencia aproximada del 50 % del total de tumores malignos del apéndice, mientras que el adenocarcinoma ronda solo el 10 %.2 Dentro de los adenocarcinomas, la variante más frecuente es la mucinosa. Las intestinales o colónicas son las menos frecuentes.
La edad media de presentación de las neoplasias apendiculares no carcinoides oscila entre 59 y 63 años.3 El adenocarcinoma del apéndice de tipo colónico se presenta a una edad media de 62 a 65 años, con una ligera predominancia en el sexo masculino. Estos tumores suelen ser un hallazgo secundario a la apendicectomía por apendicitis aguda.
CASO CLÍNICO
Una mujer de 73 años consulta por dolor abdominal a predominio de fosa ilíaca derecha de 5 meses de evolución, sin síntomas concomitantes. En el examen físico presenta una masa palpable en fosa ilíaca derecha, de 6 x 6 cm aproximadamente, francamente dolorosa y parcialmente móvil. Descenso de peso no significativo en los últimos 3 meses.
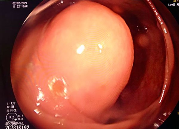
La videocolonoscopía muestra un abombamiento recubierto de mucosa de aspecto normal en topografía de válvula ileocecal, con “signo del cojín”. Se interpreta como lesión submucosa de la válvula ileocecal (Fig. 1).

Figura 1: Imagen endoscópica donde se evidencia un abombamiento recubierto de mucosa normal (signo del “cojín”), que se interpreta como lesión submucosa de la válvula ileocecal.
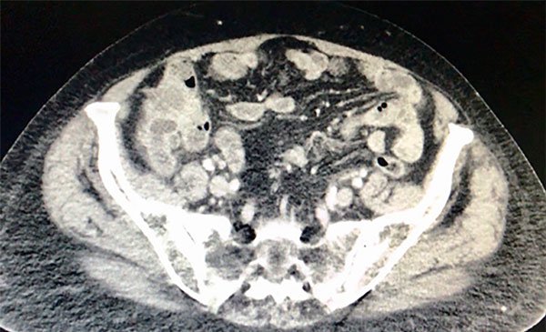
La TAC del abdomen y pelvis muestra engrosamiento parietal circunferencial e irregular del ciego. Se asocia a cambios sutiles en la densidad de los planos grasos adyacentes, ingurgitación de los vasos sanguíneos regionales y dos adenomegalias con centro hipodenso atribuible a necrosis en el territorio ileocólico, la mayor de 13 mm (Figs. 2 y 3).

Figura 2: TAC del abdomen que evidencia engrosamiento cecal y apendicular con compromiso ganglionar local.

Figura 3: TAC del abdomen donde se observa la relación de la formación tumoral con la pared abdominal anterior.
Antígeno carcinoembrionario: 7,83 ng/ml (VN hasta 5.0). Ca 19-9: 80 U/ml (VN hasta 37).
Con alta presunción de un proceso neoplásico se decide realizar una laparoscopía exploradora, en la que se objetiva la presencia de una masa en fosa ilíaca derecha, originada en el ciego, adherida al plano parietal, duro-pétrea y no se logra identificar el apéndice cecal. Se realiza una hemicolectomía derecha laparoscópica con criterio oncológico (Fig. 4).

Figura 4: Imagen de la pieza de resección (hemicolectomía derecha).
En la anatomía patológica se observa en la desembocadura del apéndice una masa exofítica que ocupa el 50 % de la luz (Fig. 5). El diagnóstico es adenocarcinoma semidiferenciado del apéndice, tipo colónico, con compromiso de la pared colónica e ileal y 2 ganglios comprometidos sobre 14 encontrados: pT4N1Mx.

Figura 5: Pieza operatoria tras la fijación con formol donde se evidencia la infiltración parietal cecal y apendicular.
DISCUSIÓN
Las neoplasias malignas del apéndice son raras y hasta 1985 la literatura mundial reportaba solo 300 casos de carcinomas no carcinoides (adenocarcinomas).4 Los carcinomas apendiculares se reportan con una incidencia ajustada por edad de 0,12 casos por cada 1.000.000 de personas por año.3 En 1350 apendicectomías de nuestra serie en el periodo 2010-2020 solo se presentó un caso de adenocarcinoma apendicular. Representan solo el 0,4 % de todos los tumores gastrointestinales.
La mayoría se presentan con dolor en fosa ilíaca derecha simulando una apendicitis aguda y se diagnostican incidentalmente en la evaluación histológica de la muestra quirúrgica (50 % de los casos). Otras formas de presentación son masa palpable (13 %), ascitis, molestias gastrointestinales o genitourinarias inespecíficas (5 %).3 En un estudio realizado por Nitecki et al. en la Mayo Clinic,4 ninguno de los 94 pacientes pudo ser diagnosticado en el preoperatorio. Cuando el paciente se presenta con síntomas, el proceso de la enfermedad a menudo está avanzado.
El diagnóstico diferencial del cáncer primario del apéndice incluye: adenocarcinoma (colónico o mucinoso), carcinoma neuroendocrino y tumores mixtos. El adenocarcinoma se diferencia del cistoadenocarcinoma por invadir la pared del colon y carecer de mucina. Además en su mayoría es pobremente diferenciado, teniendo así peor pronóstico.5
La supervivencia de los carcinomas apendiculares tiene que ver con el tipo y el tamaño tumoral. En este sentido, la supervivencia de los tumores no carcinoides es significativamente peor que la de los tumores carcinoides.3,5,6
Las metástasis linfáticas suelen presentarse en el 30 % de los casos y justifican la quimioterapia sistémica adyuvante. No se conoce con exactitud la frecuencia de las metástasis a distancia dada la rareza de la enfermedad, aunque se estiman en un 23-37 %. Los ovarios son el lugar más frecuente afectado y más excepcionalmente el hígado y el pulmón.
En aquellos pacientes con tumores T1 con características favorables (bien diferenciados y sin invasión angiolinfática), puede considerarse la apendicectomía. En cambio, los tumores T1 desfavorables (invasión angiolinfática, grado alto y/o márgenes positivos) o los de mayor estadificación (por tomografía de tórax, abdomen y pelvis) deben tratarse mediante hemicolectomía derecha.7
La invasión tumoral es el factor determinante más importante del tratamiento del adenocarcinoma del apéndice. Si bien se discute si debe realizarse una simple apendicectomía o una hemicolectomía derecha, este último procedimiento se impone.6 Así, en las apendicectomías simples se debe plantear la posterior resección colónica luego de la confirmación histopatológica, mientras que la presunción de un proceso neoplásico es recomendable realizar una hemicolectomía derecha en forma primaria, con exéresis de 12 o más ganglios linfáticos, para lograr una estadificación precisa.5-7
CONCLUSIÓN
Se presenta un caso poco frecuente de adenocarcinoma apendicular de tipo colónico. En esta ocasión, no se realizó el diagnóstico tras la apendicectomía, sino que fue de sospecha preoperatoria por presentarse como masa palpable y con evidencia imagenológica y humoral. Esto permitió la resección con criterio oncológico mediante videolaparoscopía y el posterior tratamiento adyuvante. Esta secuencia hace aún menos frecuente el caso.
REFERENCIAS